Yaygın Problemler

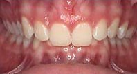
Çapraşıklık: Dişlerin dizilimleri, diş kavsinin küçük olması ve/veya dişlerin büyük olması nedeniyle kötü olabilir. Aşırı çapraşık dişlerin kökleri etrafındaki kemik ve dişeti aşırı çapraşıklığın bir sonucu olarak incelebilir ve geriye çekilebilir. Gömük dişler (sürmesi gereken fakat sürmemiş dişler), dişlerin kötü kapanış ilişkileri ve hoş olmayan görüntü çapraşıklığın sonucudurlar.

Fırlak Üst Dişler:Alt keserlerin çok ilerisinde yer almış üst ön dişler travmaya açıktırlar. Bu durum, sıklıkla, arka dişlerdeki bozuk bir kapanışın göstergesidir ve çene gelişimlerindeki bir eşitsizliği düşündürür. Genellikle, fırlak üst dişler üst çeneye göre oransal olarak kısa bir alt çeneyle birarada bulunurlar. Parmak emme alışkanlığı da üst keser fırlaklığına yol açabilir.

Derin Kapanış:Derin kapanış, alt ön keser dişlerin üst keserlerin arkasında dişeti dokusuna değmesi veya çok yakın durması olarak tanımlanır. Alt ön dişler üst dişlerin gerisindeki damağa veya dişeti dokusuna değdiklerinde ciddi kemik hasarı ve rahatsızlık meydana gelebilir. Derin bir kapanış üst keser dişlerin aşırı görülmesine de neden olabilir.

Açık Kapanış:Kapandıklarında üst dişlerin alt dişlere değmemesi açık kapanış olarak tanımlanır. Alt ve üst ön dişler arasındaki bu açıklık, çiğneme basıncının tümünün arka dişlere gelmesine neden olur. Bu aşırı çiğneme basıncı ve beraberindeki sürtünme, çiğnemeyi yetersiz hale getirir ve ciddi diş aşınmalarına yol açar.

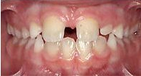
Aralıklar: Dişler eksik veya küçük olurlarsa veya diş kavsi çok geniş olursa dişler arasında boşluklar meydana gelebilir.Bu boşluklardan kaynaklı en yaygın şikayet görünümün kötülüğüdür.

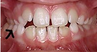
Çapraz Kapanış:Çapraz kapanışın en yaygın şekli üst dişlerin, alt dişlerin içinde (dile doğru) kapanmasıdır. Ön ve arka dişlerin çapraz kapanışı, ısırma ve çiğneme zorlukları nedeniyle, genellikle erken dönemde tedavi edilir.

Gummy Smile:‘Gummy Smile’, konuşur veya gülerken dişeti dokusunun çok fazla görünmesidir. Yaklaşık olarak erkeklerin %7’sinde, kadınların %14’ünde gülme sırasında aşırı dişeti görünümü mevcuttur. Gummy Smile, genellikle, geniş bir üst çene, kısa bir üst dudak, kısa üst keser dişler veya fırlak ön dişlerle beraber görülür. Bu durum, dudak uzunluğu veya diş yüksekliği orantısızlığından da kaynaklanabilir. Gummy Smile ortodontik tedaviyle, dişeti cerrahisi ile veya bunların kombinasyonu ile düzeltilebilir. Genellikle, ortodontik apareylerle aktif tedavisi 1-2 yıl sürer. Tedavi süresi, hastanın büyümesine, kooperasyonuna ve problemin ciddiyetine bağlıdır.

Dil İtmesi:Yutkunma, 24 saat boyunca günde yaklaşık 2000 defa tekrarlanır. Her yutkunduğunuzda, ağızınızın içindeki yapılara ciddi bir basınç uygulanır. Normal bir yutkunmada, dilin orta bölümü , ağızın tavanına yerleştirilmelidir. Dil, dişlerin arasına veya arkasına yerleşirse, bu basınç dişleri dışarı doğru iter ve yüz ve dişlerde şekil değişikliklerine neden olur. Bu anormal yutkunma hareketi ‘dil itmesi’ olarak bilinir. Bu durum, gençlerde ve yetişkinlerde oldukça yaygındır ve ortodontik tedavi ile düzeltilebilir

Sınıf II :
Sınıf II problemler, üst çene ve dişlerinin alt çenenin çok önünde yer aldığı anormal kapanış ilişkisinin genel adıdır. Halk arasında, dişleklik veya tavşan dişlilik olarak da adlandırılır. Pekçok vak’ada, bu durum iskeletsel bir kapanış bozukluğundan kaynaklanır ve kalıtsal nedenlere dayanır.

Sınıf III :
Sınıf III problemler de, genellikle genetik orijinlidirler. Bu kapanış bozukluğunda, alt çene ve dişleri üst çenenin önünde yer alırlar. Yüz görünümü, alt çenenin aşırı büyük olduğu izlenimini verebilir fakat pekçok vak’ada üst çene gelişiminin eksikliği esas nedendir. Bu durum, alt ön dişlerin üst ön dişlerin önünde yer alarak bir çapraz kapanış oluşturmasına neden olur. Bu hastalarda, tedavi boyunca diş ve çene gelişiminin dikkatli takip edilmesi gereklidir.

Kapanış Bozuklukları Tedavi Edilmezlerse Ne Olur?

Amerikan Ortodontistler Birliği’nin araştırmalarına göre, tedavi edilmemiş kapanış bozuklukları, çeşitli problemlere neden olurlar. Çapraşık dişlerin temizlenmesi çok daha zor olduğundan diş çürükleri ve dişeti hastalıkları daha sık görülürler. Fırlak dişler travma sonucu kırılmaya çok daha yatkındırlar. Çapraz kapanışlar, büyümenin yanlış yönlenmesine ve istenmeyen diş aşınmalarına neden olurlar. Açık kapanışlar, dil itme alışkanlıklarının gelişmesine ve konuşma bozukluklarına neden olurlar. Ayrıca, maloklüzyonların kişilerin psikolojileri üstündeki olumsuz etkilerini de gözardı etmemek gerekir.